Parodontologia

La malattia parodontale è una patologia infiammatoria cronica indotta dai batteri che sono normalmente presenti nella cavità orale e che possono dare malattia parodontale qual'ora penetrino nella gengiva.

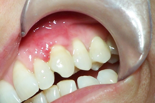
Se l’infezione è contenuta alla sola gengiva che circonda il dente si parla di parodontopatie superficiali definite gengiviti, condizione in cui si osserva sanguinamento e arrossamento delle gengive che diventano anche dolenti. Se, al contrario, l’infezione comincia a distruggere il legamento parodontale e l’osso alveolare si parla di parodontopatie profonde (piorrea) a cui segue la formazione delle tasche parodontali (spazio patologico tra gengiva e superficie dentale) e/o l’eventuale retrazione delle gengive con scopertura della radice dentale, sanguinamento e progressiva mobilità degli elementi dentali, a volte unico segno della malattia.

Visite di controllo regolari permettono di fare una diagnosi precoce della malattia e di mettere in atto adeguate misure di prevenzione e di trattamento.

EQUIPE

Gianluca Targa
Medico Chirurgo e Odontoiatra


Richiedi informazioni o un appuntamento per questa prestazione

Compili i seguenti campi per avviare una richiesta di prenotazione, il Poliambulatorio la ricontatterà per confermarle l'appuntamento.